septic ascites in cats
Blood to fluid glucose BFG difference 20 mgdL showed 100 sensitivity and 100 specificity in dogs 86 sensitivity and 100 specificity in cats Bonczynski 2003. Common treatments for Ascites.
Read About Infectious Disease In This Article By Chantal A Ragetly And More
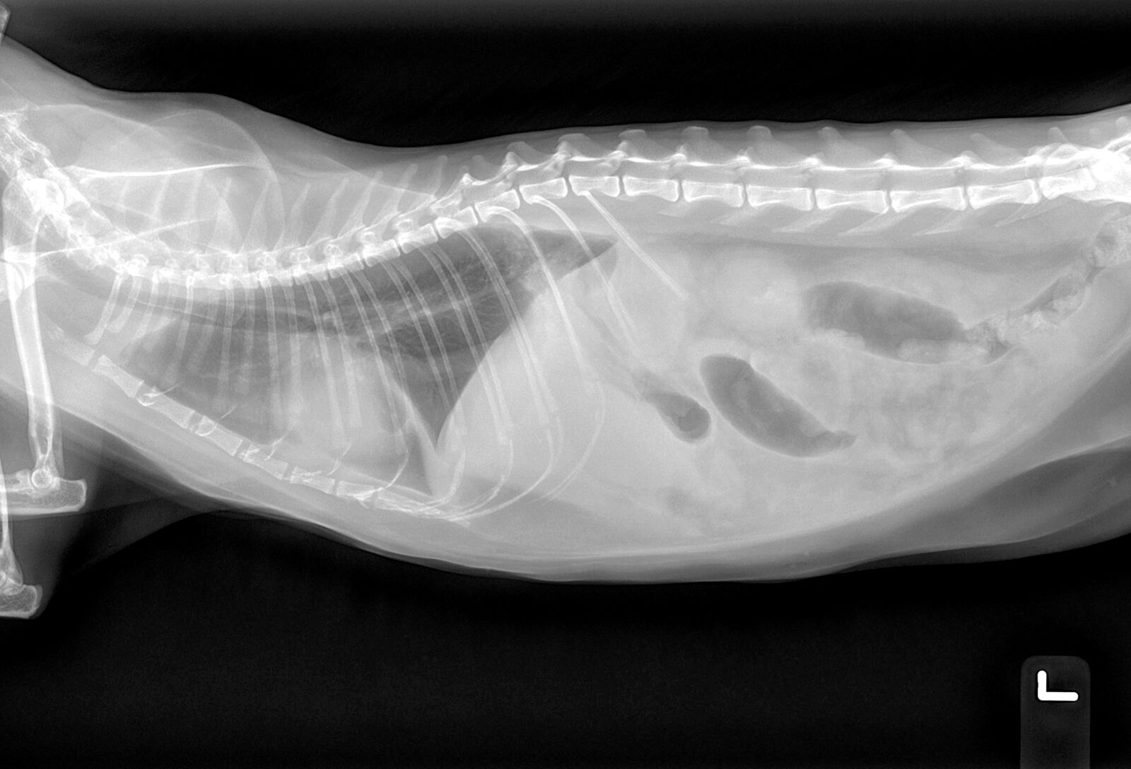
Ascites pronounced a-site-eez is the accumulation of fluid in a cats abdominal cavity.
. Ascites pronounced a-site-eez is the accumulation of fluid in a cats abdominal cavity. The reason that it leads to ascites is because the cats heart is struggling to distribute blood throughout its body and the symptom of swelling appears also in the cats. The diagnosis of a neoplasm is based on.
Treatment for Ascites in Cats. Ascites In Cats Cat Tales Central venous pressure is an assessment of venous return blood volume and indirectly of cardiac output. Bacterial Infection of the Blood Sepsis in Cats.
If the liver or kidneys are ruptured or fail they release fluid into the abdomen that can. The dog or cat with septic peritonitis may display evidence of sepsis severe sepsis septic shock and frequently multiple organ dysfunction. Ascites is not a specific condition but a physical abnormality that develops as a consequence of an underlying.
Treatment for Ascites in Cats. Once the condition has been diagnosed and the root cause has been identified the cat can begin treatment for Ascites. It is not a good disease but this article will try to highlight aspects of management that may improve the.
This presentation focuses on diseases causing abdominal distension or effusion in dogs and cats and is aimed at assisting the practitioner to. If the liver or kidneys are ruptured or fail they release fluid into the abdomen that can. Bacteremia and septicemia occur when the persistent presence of bacterial organisms in a cats bloodstream becomes systemic.
Pain in the affected joint or joints. In cats with ascites an abdominal swelling is commonly noticed. SEPTIC peritonitis is a diagnosis that results in many clinicians groaning internally.
Septic peritonitis is a rapidly. A cat who has developed septic arthritis will be in obvious pain not feeling well.
Comparisons Of Effusion Biomarker Concentrations In Dogs With Septic Download High Resolution Scientific Diagram
Read About Infectious Disease In This Article By Chantal Ragetly And More
Diagnosis And Treatment Of Feline Infectious Peritonitis Veterian Key
Update On Feline Toxoplasmosis Caney 2021 In Practice Wiley Online Library
How To Perform An Abdominocentesis In A Cat Vetgirl Veterinary Ce Blog
Diagnosis And Treatment Of Feline Infectious Peritonitis Veterian Key
Update On Feline Infectious Peritonitis Barker 2020 In Practice Wiley Online Library
Fluid In Abdomen In Cats Petmd
Review On Ascites In Pets Intechopen
Acute Abdomen In Dogs Cats Step By Step Approach To Patient Care Today S Veterinary Practice
Feline Infectious Peritonitis Long Beach Animal Hospital
Read About Infectious Disease In This Article By Chantal Ragetly And More
Fluid In Abdomen In Cats Petmd
Acute Abdomen In Dogs Cats Step By Step Approach To Patient Care Today S Veterinary Practice
2022 Aafp Everycat Feline Infectious Peritonitis Diagnosis Guidelines Vicki Thayer Susan Gogolski Sandra Felten Katrin Hartmann Melissa Kennedy Glenn A Olah 2022

